Liver fat refers to the accumulation of triglycerides within liver cells. In healthy physiology, the liver contains minimal fat. When fat exceeds normal thresholds, it indicates fatty liver, medically termed steatosis.
Excess liver fat disrupts metabolic function. It is strongly linked to insulin resistance, type 2 diabetes, dyslipidaemia, systemic inflammation, and increased cardiovascular risk. Progression can lead to steatohepatitis, fibrosis, cirrhosis, and liver failure.

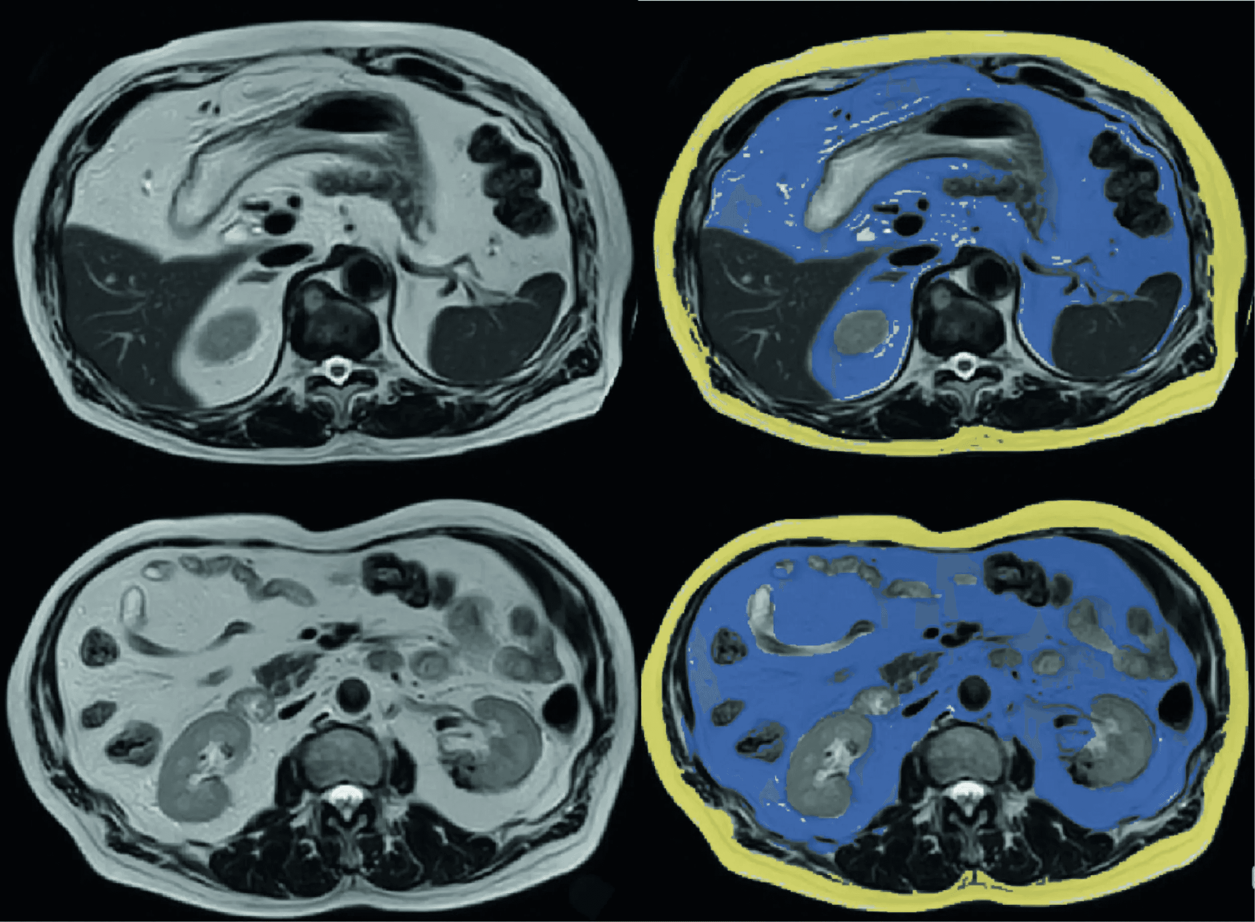
Visceral Fat Volume – Measures total harmful fat around organs.
Visceral to Subcutaneous Fat Ratio – Compares deep fat to surface fat, highlighting metabolic risk.
Fat Distribution Patterns – Shows how fat is spread across organs and regions for precise risk assessment.
Learn more




